
Before and Afters
At Ivanov Orthodontics, we strive to give you the ultimate smile transformations in a comforting environment and experience that will make you enjoy your visits. We have extremely friendly and attentive staff who will take special care of you and your children. Even our procedures and treatments follow this same philosophy of comfort, ultimate smile transformations, and fast treatment times.
AMERICA'S TOP DENTIST

Planned for 36 months, finished in 24 months, extraction of 4 premolars, fixed severe crowding and openbite.



24 months fixed lower crowding and overbite



18 months fixed proclined and gapped upper and lower teeth



Planned for 30 months, finished in 24 months, avoided extraction of 4 teeth, fixed posterior cross bite, fixed overjet and overbite



12 months, Phase 1 early orthodontic treatment, expander and bite plate, made space for permanent teeth



Planned for 36 months, finished in 24 months, braces with tongue crib, avoided jaw surgery, fixed open bite and tongue habit



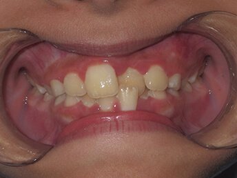
12 months, Phase 1 early orthodontic treatment, expander and bite plate, made space for permanent teeth, fixed traumatic overbite and front gapping



Planned for 36 months, finished in 30 months, avoided jaw surgery, extraction of 4 premolars, fixed severe crowding, fixed anterior underbite, fixed posterior crossbite, fixed openbite, fixed uneven smile



Planned for 36 months, finished in 24 months, fixed protruded front teeth, fixed gapping, fixed alignment



24 months, fixed anterior bilateral underbite, fixed alignment



18 months, fixed generalized upper and lower gapping



Planned for 24 months, finished in 18 months, fixed openbite and rotations



24 months, fixed uneven smile and bottom teeth crowding



18 months, fixed overbite and uneven bottom smile



Planned for 24 months, finished in 18 months, fixed upper and lower spacing and coordinated midlines


Committed to Our Community—Locally and Beyond












Looking for ORTHODONTICS in Miami?
Book a consultation with DR IVANOV to find out which treatment is right for you.









